Coroa em Porcelana
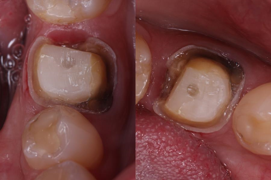
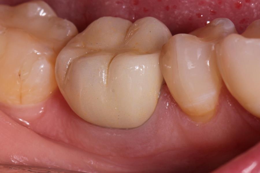
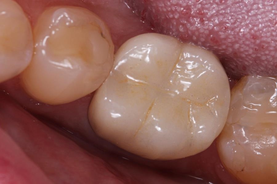
Nossa prioridade é preservar um dente saudável. Nossa missão foi reabilitar o molar, restaurando sua função tanto estética quanto mastigatória. Utilizamos o fluxo digital para realizar todo o processo. Inicialmente, realizamos o desgaste necessário na coroa do dente devido às fraturas existentes, sendo essa a melhor opção para o procedimento. Em seguida, escaneamos o preparo para obter a base necessária e colocamos um dente provisório. Utilizando o computador, desenhamos a coroa e realizamos a impressão 3D desse desenho, seguida pela montagem do dente em porcelana. Após concluído o trabalho, colocamos a coroa na boca do paciente para ajustes finais, finalizando assim mais uma reabilitação. É gratificante poder proporcionar aos nossos pacientes o máximo conforto e uma estética agradável.

