Implantes, Próteses e Laminados Cerâmicos
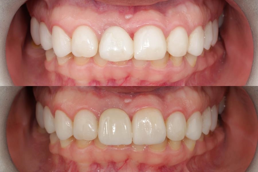
Foi feito inicialmente uma profilaxia simples que é um procedimento odontológico de limpeza dos dentes realizado por um dentista ou um higienista dental. Durante a profilaxia, o profissional remove a placa bacteriana e o tártaro que se acumulam nos dentes e abaixo da gengiva. Isso ajuda a prevenir cáries e doenças periodontais.
Em seguida fizemos a coroa de implante que é uma prótese dentária utilizada para cobrir um implante dentário. Um implante dentário é um pino de titânio inserido no osso maxilar ou mandibular para substituir uma raiz de dente ausente. A coroa é fixada sobre o implante e restaura a estética e a função do dente perdido.
Depois a remoção de uma peça protética é um procedimento em que o dentista retira uma prótese dentária existente, como uma coroa, ponte ou prótese parcial removível. Isso pode ser necessário para substituir a prótese, fazer reparos ou ajustes.
Um laminado cerâmico, também conhecido como faceta, é uma fina camada de cerâmica ou porcelana aplicada sobre a superfície frontal de um dente. Isso é feito para melhorar a estética do dente, corrigir imperfeições como manchas, lascas ou descoloração, e também para melhorar a forma e o alinhamento dos dentes. Cada unidade refere-se à aplicação de uma faceta em um único dente.
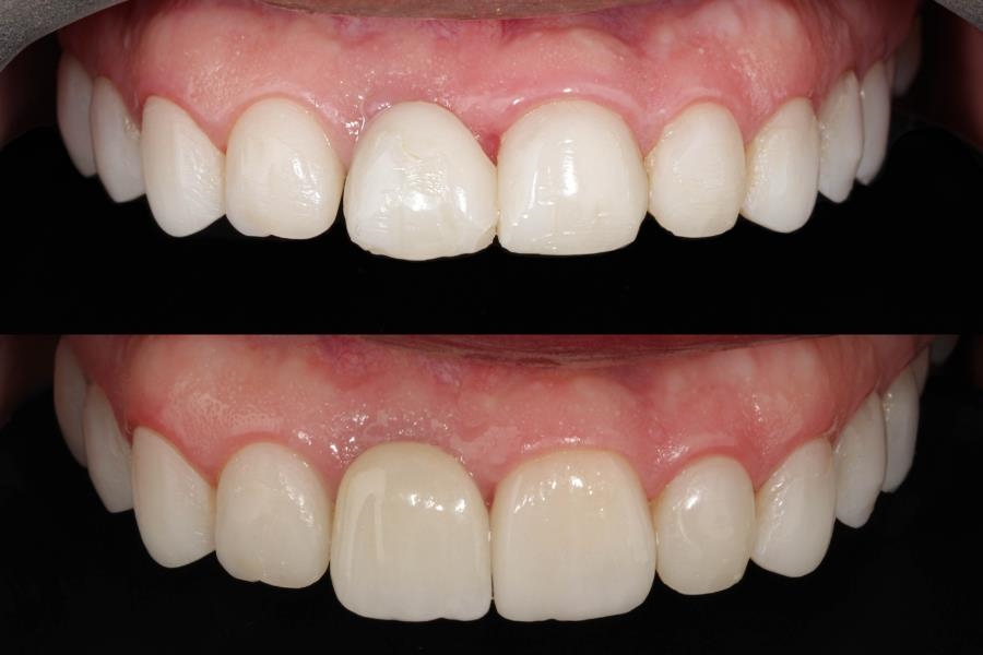
Em seguida fizemos a coroa de implante que é uma prótese dentária utilizada para cobrir um implante dentário. Um implante dentário é um pino de titânio inserido no osso maxilar ou mandibular para substituir uma raiz de dente ausente. A coroa é fixada sobre o implante e restaura a estética e a função do dente perdido.
Depois a remoção de uma peça protética é um procedimento em que o dentista retira uma prótese dentária existente, como uma coroa, ponte ou prótese parcial removível. Isso pode ser necessário para substituir a prótese, fazer reparos ou ajustes.
Um laminado cerâmico, também conhecido como faceta, é uma fina camada de cerâmica ou porcelana aplicada sobre a superfície frontal de um dente. Isso é feito para melhorar a estética do dente, corrigir imperfeições como manchas, lascas ou descoloração, e também para melhorar a forma e o alinhamento dos dentes. Cada unidade refere-se à aplicação de uma faceta em um único dente.

