Melhorando o Sorriso com PT Definitiva Arcada Superior
Ter um sorriso bonito e saudável é fundamental para a autoestima e confiança de uma pessoa. No entanto, às vezes, problemas dentários podem afetar significativamente a aparência e a funcionalidade bucal. Um paciente, que enfrentava desafios com sua PT Definitiva Arcada Superior mal adaptada e esteticamente insatisfatória, decidiu tomar medidas para melhorar sua situação no centro de estética dental.
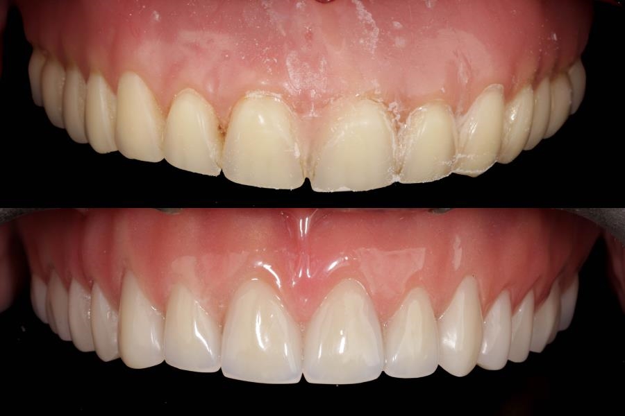
A PT Definitiva, ou Prótese Total, é uma solução dentária usada quando um paciente perdeu todos os dentes da arcada superior. Ela desempenha um papel crucial na restauração da função mastigatória e da estética do sorriso. No entanto, no caso deste paciente, a PT Definitiva anterior estava mal adaptada, causando desconforto e afetando a aparência de seu sorriso.
Após uma consulta com profissionais qualificados em um centro de estética dental, o paciente optou por uma solução personalizada. Os especialistas dentais realizaram uma avaliação completa da situação bucal do paciente e desenvolveram um plano de tratamento personalizado.
O processo de melhoria do sorriso envolveu:
Avaliação Odontológica Detalhada: Os dentistas realizaram exames minuciosos, incluindo radiografias e moldagens, para entender completamente a condição do paciente.
Planejamento Personalizado: Com base na avaliação, foi criado um plano de tratamento sob medida para atender às necessidades específicas do paciente. Isso incluiu a criação de uma nova PT Definitiva Arcada Superior que se encaixasse perfeitamente e melhorasse a estética do sorriso.
Confecção da Nova Prótese: Utilizando tecnologia avançada e materiais de alta qualidade, a nova PT Definitiva foi fabricada com precisão para garantir uma adaptação confortável e um visual natural.
Ajustes e Finalizações: Durante o processo, foram feitos ajustes e refinamentos para garantir que a prótese ficasse perfeitamente alinhada e atendesse às expectativas estéticas do paciente.
Após a conclusão do tratamento, o paciente ficou extremamente satisfeito com os resultados. Sua nova PT Definitiva não só restaurou a funcionalidade mastigatória, mas também proporcionou um sorriso esteticamente agradável, alinhado com suas preferências.
Este caso ilustra como a odontologia estética avançada pode transformar a vida de um paciente, restaurando não apenas a função bucal, mas também a confiança e a autoestima. A escolha de buscar tratamento em um centro de estética dental especializado permitiu que o paciente alcançasse o sorriso desejado e melhorasse significativamente sua qualidade de vida.
A PT Definitiva, ou Prótese Total, é uma solução dentária usada quando um paciente perdeu todos os dentes da arcada superior. Ela desempenha um papel crucial na restauração da função mastigatória e da estética do sorriso. No entanto, no caso deste paciente, a PT Definitiva anterior estava mal adaptada, causando desconforto e afetando a aparência de seu sorriso.
Após uma consulta com profissionais qualificados em um centro de estética dental, o paciente optou por uma solução personalizada. Os especialistas dentais realizaram uma avaliação completa da situação bucal do paciente e desenvolveram um plano de tratamento personalizado.
O processo de melhoria do sorriso envolveu:
Avaliação Odontológica Detalhada: Os dentistas realizaram exames minuciosos, incluindo radiografias e moldagens, para entender completamente a condição do paciente.
Planejamento Personalizado: Com base na avaliação, foi criado um plano de tratamento sob medida para atender às necessidades específicas do paciente. Isso incluiu a criação de uma nova PT Definitiva Arcada Superior que se encaixasse perfeitamente e melhorasse a estética do sorriso.
Confecção da Nova Prótese: Utilizando tecnologia avançada e materiais de alta qualidade, a nova PT Definitiva foi fabricada com precisão para garantir uma adaptação confortável e um visual natural.
Ajustes e Finalizações: Durante o processo, foram feitos ajustes e refinamentos para garantir que a prótese ficasse perfeitamente alinhada e atendesse às expectativas estéticas do paciente.
Após a conclusão do tratamento, o paciente ficou extremamente satisfeito com os resultados. Sua nova PT Definitiva não só restaurou a funcionalidade mastigatória, mas também proporcionou um sorriso esteticamente agradável, alinhado com suas preferências.
Este caso ilustra como a odontologia estética avançada pode transformar a vida de um paciente, restaurando não apenas a função bucal, mas também a confiança e a autoestima. A escolha de buscar tratamento em um centro de estética dental especializado permitiu que o paciente alcançasse o sorriso desejado e melhorasse significativamente sua qualidade de vida.


