O Processo de Design Digital para Facetas de Porcelana
Conciliar o desejo do paciente com as técnicas corretas de execução não é uma tarefa fácil. É necessário possuir amplo conhecimento no assunto para garantir não apenas a estética, mas também a funcionalidade em perfeita harmonia. Recentemente, tivemos um paciente que desejava um sorriso mais claro e harmonioso.
Iniciamos o processo com um escaneamento inicial, permitindo a execução do trabalho por meio do fluxo digital. Em nossa clínica, contamos com um laboratório que realiza trabalhos tanto pelo fluxo digital quanto pelo convencional. Essa abordagem contribui significativamente para agilizar os procedimentos na clínica, mantendo uma excelente qualidade nas entregas.
Após o escaneamento, realizamos fotografias para avaliar as proporções do sorriso e do rosto do paciente. Tudo precisa se encaixar com harmonia e funcionalidade. Como medida de segurança, procedemos com radiografias para garantir que o paciente esteja apto para o procedimento.
Em seguida, nosso cadista elabora desenhos digitais e cria facetas alinhadas com o modelo do paciente, em sintonia com as fotografias. Após a conclusão do desenho, é impresso, e uma muralha de silicone é aplicada para realizar o planejamento em boca, conhecido como Mockup. Esse é o momento em que o paciente visualiza aproximadamente como ficarão suas facetas em boca. Após a aprovação, encaminhamos o projeto para a produção das facetas de porcelana pela nossa ceramista, que utiliza o modelo 3D e a muralha do planejamento.
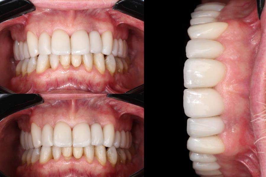
Com as facetas prontas, realizamos os ajustes finais em boca antes da colocação definitiva. O paciente, ao ver o resultado final, expressou sua satisfação, e nós, enquanto equipe, ficamos ainda mais felizes por ter contribuído para mais um sonho realizado.
Iniciamos o processo com um escaneamento inicial, permitindo a execução do trabalho por meio do fluxo digital. Em nossa clínica, contamos com um laboratório que realiza trabalhos tanto pelo fluxo digital quanto pelo convencional. Essa abordagem contribui significativamente para agilizar os procedimentos na clínica, mantendo uma excelente qualidade nas entregas.
Após o escaneamento, realizamos fotografias para avaliar as proporções do sorriso e do rosto do paciente. Tudo precisa se encaixar com harmonia e funcionalidade. Como medida de segurança, procedemos com radiografias para garantir que o paciente esteja apto para o procedimento.
Em seguida, nosso cadista elabora desenhos digitais e cria facetas alinhadas com o modelo do paciente, em sintonia com as fotografias. Após a conclusão do desenho, é impresso, e uma muralha de silicone é aplicada para realizar o planejamento em boca, conhecido como Mockup. Esse é o momento em que o paciente visualiza aproximadamente como ficarão suas facetas em boca. Após a aprovação, encaminhamos o projeto para a produção das facetas de porcelana pela nossa ceramista, que utiliza o modelo 3D e a muralha do planejamento.
Com as facetas prontas, realizamos os ajustes finais em boca antes da colocação definitiva. O paciente, ao ver o resultado final, expressou sua satisfação, e nós, enquanto equipe, ficamos ainda mais felizes por ter contribuído para mais um sonho realizado.

