Reabilitando o sorriso com naturalidade: o caso de Vanderleia
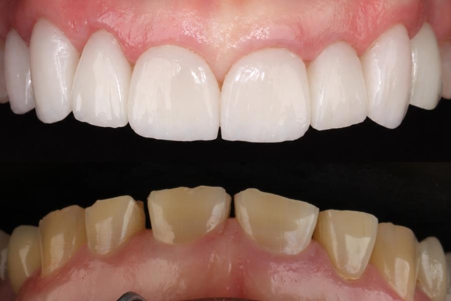
Vanderleia chegou até a clínica com o desejo de melhorar a aparência do sorriso, mas também precisava resolver questões funcionais que já vinham incomodando há algum tempo. Havia diferenças de cor, desgastes dentários e algumas restaurações antigas que já não estavam em boas condições, o que impactava tanto na estética quanto no conforto no dia a dia.
Iniciamos com um planejamento completo, incluindo exames, fotografias e escaneamento digital, para entender todo o cenário e definir a melhor estratégia. Logo no início, também foi realizado um clareamento dental, elevando o padrão de cor dos dentes e criando uma base mais harmônica para os próximos passos do tratamento.
Com o sorriso já mais claro, seguimos para a fase restauradora. Alguns dentes posteriores precisaram de reconstruções com onlays em resina, devolvendo estrutura, resistência e função mastigatória. Essa etapa foi fundamental para garantir que o tratamento estético tivesse uma base sólida e duradoura.
Na região anterior, onde a estética tem maior destaque, optamos pelas facetas de porcelana. Cada peça foi planejada de forma individualizada, respeitando o formato do rosto, o sorriso da paciente e buscando um resultado natural. Durante o processo, realizamos provas e ajustes para garantir uma adaptação precisa e um encaixe confortável.
Após a aprovação, foi feita a cimentação definitiva das peças, utilizando técnicas adesivas modernas, que garantem maior durabilidade e estabilidade ao longo do tempo. Também realizamos ajustes finos de mordida, garantindo que o novo sorriso não fosse apenas bonito, mas também funcional.
Como parte final do tratamento, Vanderleia foi orientada sobre cuidados e recebeu uma placa de proteção, importante para preservar os resultados, principalmente em casos de apertamento ou desgaste.
O resultado foi um sorriso mais claro, equilibrado e natural, respeitando as características da paciente e trazendo mais segurança no dia a dia. Mais do que uma mudança estética, foi uma reabilitação completa, pensada para unir saúde, função e beleza em cada detalhe.
Iniciamos com um planejamento completo, incluindo exames, fotografias e escaneamento digital, para entender todo o cenário e definir a melhor estratégia. Logo no início, também foi realizado um clareamento dental, elevando o padrão de cor dos dentes e criando uma base mais harmônica para os próximos passos do tratamento.
Com o sorriso já mais claro, seguimos para a fase restauradora. Alguns dentes posteriores precisaram de reconstruções com onlays em resina, devolvendo estrutura, resistência e função mastigatória. Essa etapa foi fundamental para garantir que o tratamento estético tivesse uma base sólida e duradoura.
Na região anterior, onde a estética tem maior destaque, optamos pelas facetas de porcelana. Cada peça foi planejada de forma individualizada, respeitando o formato do rosto, o sorriso da paciente e buscando um resultado natural. Durante o processo, realizamos provas e ajustes para garantir uma adaptação precisa e um encaixe confortável.
Após a aprovação, foi feita a cimentação definitiva das peças, utilizando técnicas adesivas modernas, que garantem maior durabilidade e estabilidade ao longo do tempo. Também realizamos ajustes finos de mordida, garantindo que o novo sorriso não fosse apenas bonito, mas também funcional.
Como parte final do tratamento, Vanderleia foi orientada sobre cuidados e recebeu uma placa de proteção, importante para preservar os resultados, principalmente em casos de apertamento ou desgaste.
O resultado foi um sorriso mais claro, equilibrado e natural, respeitando as características da paciente e trazendo mais segurança no dia a dia. Mais do que uma mudança estética, foi uma reabilitação completa, pensada para unir saúde, função e beleza em cada detalhe.

