Reconstruindo a Confiança: Implantes e Coroas em Porcelana
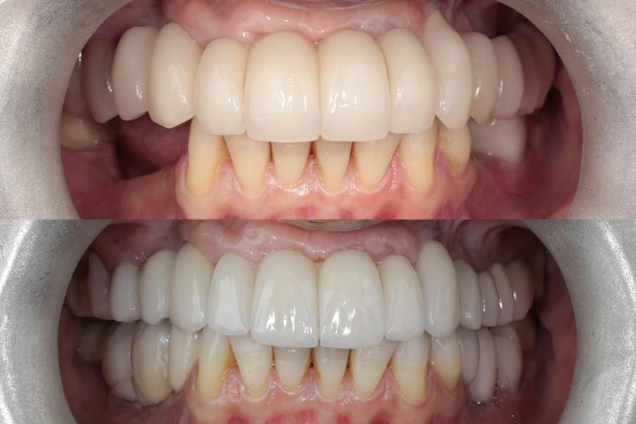
A paciente usava um conjunto de coroas na arcada superior e apresentava ausência de dentes na parte posterior da arcada inferior. Ela procurou nossa ajuda com o objetivo de não apenas melhorar a estética, mas também a funcionalidade do seu sorriso. Desejava clarear e aprimorar a forma dos dentes que a desagradavam. Inicialmente, realizamos uma radiografia para avaliar a condição óssea e, em seguida, procedemos ao escaneamento da paciente. Fotografamos a sua situação inicial, o que nos permitiu planejar o design final de seus novos facetas com precisão.
Com base nesse planejamento, criamos um modelo em boca, conhecido como Mockup, que nos deu uma ideia aproximada de como as facetas ficariam. Posteriormente, realizamos a cirurgia de implante na arcada inferior e planejamos as coroas em porcelana para essa arcada. Após a aprovação do planejamento, demos início à confecção das facetas e agendamos uma etapa de prova. A paciente teve várias oportunidades para aprovar as coroas antes da colagem definitiva.
A paciente ficou extremamente satisfeita com o resultado, conseguindo transformar seu sorriso. Estamos muito contentes com o sucesso alcançado.
Com base nesse planejamento, criamos um modelo em boca, conhecido como Mockup, que nos deu uma ideia aproximada de como as facetas ficariam. Posteriormente, realizamos a cirurgia de implante na arcada inferior e planejamos as coroas em porcelana para essa arcada. Após a aprovação do planejamento, demos início à confecção das facetas e agendamos uma etapa de prova. A paciente teve várias oportunidades para aprovar as coroas antes da colagem definitiva.
A paciente ficou extremamente satisfeita com o resultado, conseguindo transformar seu sorriso. Estamos muito contentes com o sucesso alcançado.

