Trauma denRecuperação de Trauma com Facetas de Porcelana
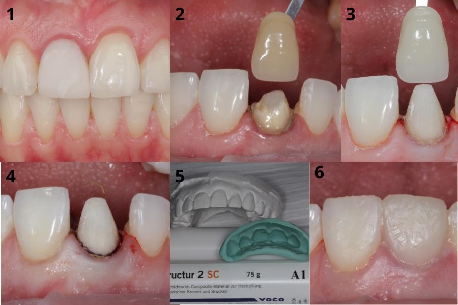
A paciente em questão relatou, durante sua consulta inicial, que havia sofrido um trauma no dente 11 (Incisivo Central Direito) que necessitou de tratamento de canal. Devido ao trauma, a coroa desse dente escureceu e a faceta em resina anteriormente colocada não correspondia ao formato e à cor do dente oposto, o dente 21. Ela procurou nossa equipe para resolver essa situação que a incomodava há muito tempo.
Iniciamos o processo com uma radiografia do dente para avaliar a situação e, em seguida, realizamos um escaneamento. Após o escaneamento, desenvolvemos um desenho do dente 11, seguindo a anatomia do dente 21, a fim de garantir uma aparência natural e disfarçar os efeitos do trauma. Confeccionamos um modelo impresso com base nesse desenho e criamos uma muralha de referência sobre ele para se alinhar com o dente original.
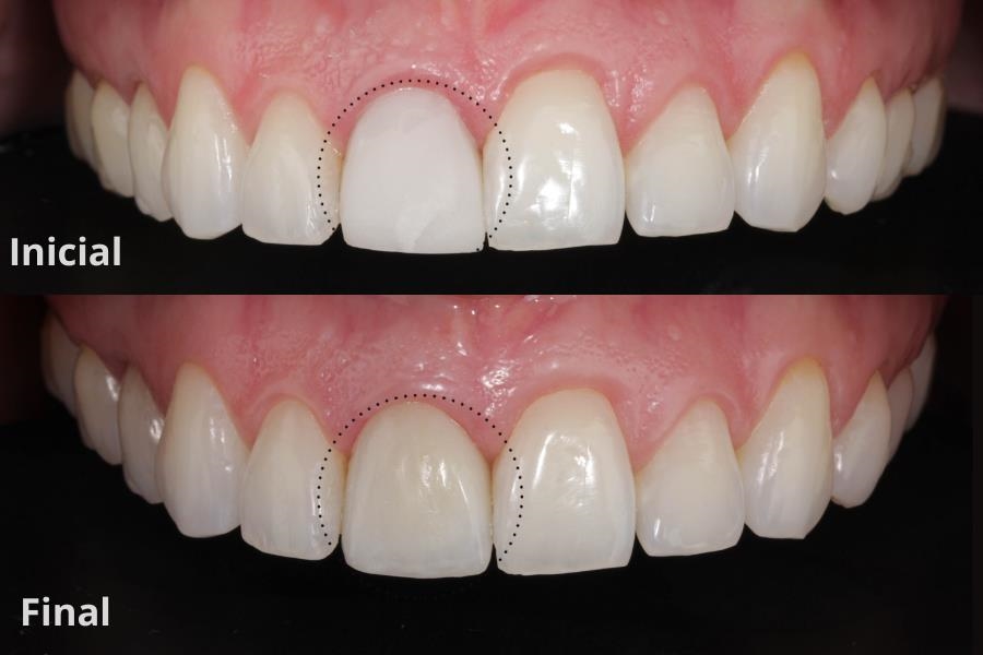
A paciente aprovou a anatomia do dente e escolhemos a escala de cor adequada. Em seguida, procedemos à preparação do dente dela para a colocação da coroa de porcelana. Removemos toda a resina antiga do dente e realizamos um clareamento no local onde estava mais escuro devido ao trauma, preparando-o para receber a faceta e manter a cor natural. O dente anterior, como mostram as imagens, estava mais claro e opaco, destacando sua artificialidade.
Após a preparação, aplicamos uma coroa temporária e, alguns dias depois, a paciente retornou para a colocação da coroa definitiva. Ela ficou extremamente satisfeita com o resultado e agora sorri com confiança. Agradecemos pela confiança depositada em nossa equipe.
Iniciamos o processo com uma radiografia do dente para avaliar a situação e, em seguida, realizamos um escaneamento. Após o escaneamento, desenvolvemos um desenho do dente 11, seguindo a anatomia do dente 21, a fim de garantir uma aparência natural e disfarçar os efeitos do trauma. Confeccionamos um modelo impresso com base nesse desenho e criamos uma muralha de referência sobre ele para se alinhar com o dente original.
A paciente aprovou a anatomia do dente e escolhemos a escala de cor adequada. Em seguida, procedemos à preparação do dente dela para a colocação da coroa de porcelana. Removemos toda a resina antiga do dente e realizamos um clareamento no local onde estava mais escuro devido ao trauma, preparando-o para receber a faceta e manter a cor natural. O dente anterior, como mostram as imagens, estava mais claro e opaco, destacando sua artificialidade.
Após a preparação, aplicamos uma coroa temporária e, alguns dias depois, a paciente retornou para a colocação da coroa definitiva. Ela ficou extremamente satisfeita com o resultado e agora sorri com confiança. Agradecemos pela confiança depositada em nossa equipe.

