Trazendo de volta a harmonia do sorriso: o caso de Alessandra
Alessandra chegou até a clínica incomodada com o próprio sorriso. Apesar de ter um rosto harmonioso, ela sentia que os dentes não acompanhavam essa estética. Havia diferenças de cor, desgaste em alguns dentes e a ausência de um elemento que comprometia tanto a função quanto a aparência. O desejo dela era simples: ter um sorriso mais bonito, natural e que combinasse com ela.
A partir disso, iniciamos uma avaliação completa, com exames e planejamento digital, para entender cada detalhe do caso. Observamos que seria necessário unir diferentes tratamentos para alcançar um resultado equilibrado, combinando facetas de porcelana nos dentes anteriores com a reabilitação de áreas que precisavam de implante.
Com o planejamento definido, seguimos para a etapa de organização do sorriso. Realizamos o escaneamento digital, que permite visualizar e desenhar o novo sorriso com precisão, sem a necessidade de moldes desconfortáveis. A partir desse planejamento, conseguimos mostrar para a Alessandra uma prévia de como ficaria o resultado final, o que trouxe mais segurança para seguir com o tratamento.
Enquanto o implante passava pelo período de integração, utilizamos provisórios para manter a estética e o conforto durante todo o processo. Isso permite que a paciente já tenha uma boa aparência desde o início, além de possibilitar pequenos ajustes antes da fase definitiva.
Na sequência, iniciamos a transformação estética com as facetas de porcelana. Cada detalhe, como formato, proporção e cor, foi cuidadosamente planejado para que o sorriso ficasse natural e em harmonia com o rosto da paciente. A escolha da tonalidade foi pensada para clarear o sorriso sem deixar artificial, mantendo leveza e elegância.
Após a prova das peças e a aprovação da Alessandra, realizamos a cimentação definitiva das facetas e a instalação das coroas sobre implante. Nessa fase, também são feitos ajustes de mordida e acabamento, garantindo não só a estética, mas também o conforto e a funcionalidade do novo sorriso.
Como parte dos cuidados finais, orientamos o uso de uma placa de proteção, importante para preservar o tratamento ao longo do tempo, principalmente em casos de apertamento ou desgaste.
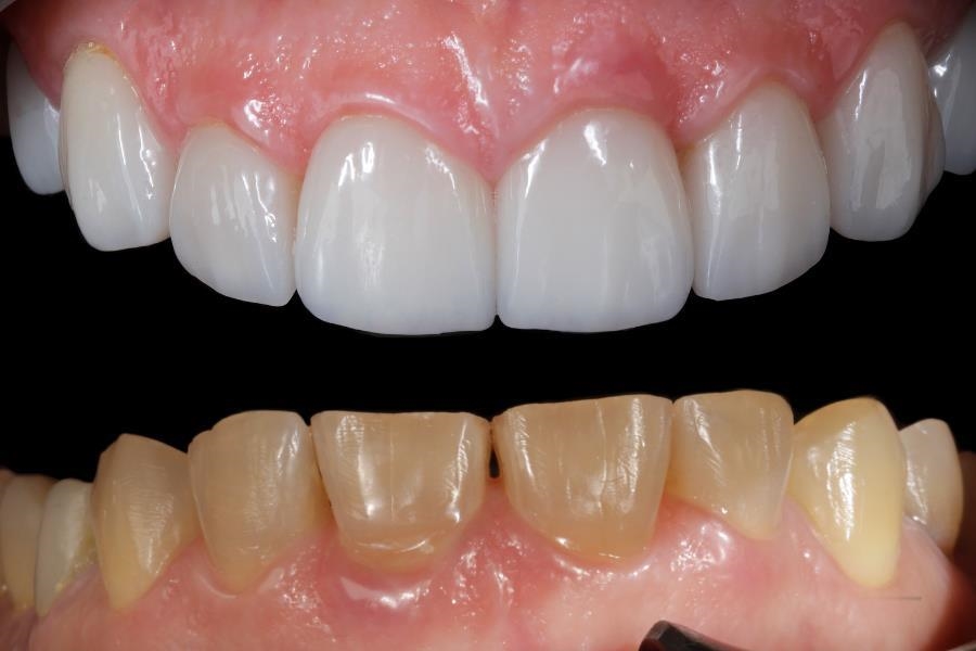
O resultado foi um sorriso mais claro, alinhado e natural, respeitando as características da Alessandra e devolvendo a ela a confiança ao sorrir. Mais do que uma mudança estética, foi uma reabilitação completa, pensada em cada detalhe para unir saúde, função e beleza.
A partir disso, iniciamos uma avaliação completa, com exames e planejamento digital, para entender cada detalhe do caso. Observamos que seria necessário unir diferentes tratamentos para alcançar um resultado equilibrado, combinando facetas de porcelana nos dentes anteriores com a reabilitação de áreas que precisavam de implante.
Com o planejamento definido, seguimos para a etapa de organização do sorriso. Realizamos o escaneamento digital, que permite visualizar e desenhar o novo sorriso com precisão, sem a necessidade de moldes desconfortáveis. A partir desse planejamento, conseguimos mostrar para a Alessandra uma prévia de como ficaria o resultado final, o que trouxe mais segurança para seguir com o tratamento.
Enquanto o implante passava pelo período de integração, utilizamos provisórios para manter a estética e o conforto durante todo o processo. Isso permite que a paciente já tenha uma boa aparência desde o início, além de possibilitar pequenos ajustes antes da fase definitiva.
Na sequência, iniciamos a transformação estética com as facetas de porcelana. Cada detalhe, como formato, proporção e cor, foi cuidadosamente planejado para que o sorriso ficasse natural e em harmonia com o rosto da paciente. A escolha da tonalidade foi pensada para clarear o sorriso sem deixar artificial, mantendo leveza e elegância.
Após a prova das peças e a aprovação da Alessandra, realizamos a cimentação definitiva das facetas e a instalação das coroas sobre implante. Nessa fase, também são feitos ajustes de mordida e acabamento, garantindo não só a estética, mas também o conforto e a funcionalidade do novo sorriso.
Como parte dos cuidados finais, orientamos o uso de uma placa de proteção, importante para preservar o tratamento ao longo do tempo, principalmente em casos de apertamento ou desgaste.
O resultado foi um sorriso mais claro, alinhado e natural, respeitando as características da Alessandra e devolvendo a ela a confiança ao sorrir. Mais do que uma mudança estética, foi uma reabilitação completa, pensada em cada detalhe para unir saúde, função e beleza.

